Sie haben das Gefühl, ihre Zähne werden immer dunkler? Selbst eine professionelle Zahnreinigung bewirkt nicht den gewünschten Effekt? Ein strahlendes Lächeln? Das liegt seit Langem im Trend und gehört heute zum gewohnten Schönheitsideal. Der Gilb auf den Zähnen gilt heute als unästhetisch, weshalb sich immer mehr Menschen die Zähne bleichen lassen, durch das so genannte Bleaching.

Nicht nur die Zahnform, sondern auch die Zahnfarbe ist unterschiedlich. So gibt es die verschiedensten Farbnuancen von weiß, gräulich, gelb, grünlich bis bräunlich. Zudem verändert sich die Zahnfarbe im Lauf der Zeit stetig.

Die bleibenden Zähne sind von Natur und durch den normalen Alterungsprozess etwas dunkler, weil sich Farbstoffe (z.B. aus Rotwein, Kaffee, Tee, Nikotin, aber auch verschiedene Medikamente) in den Zahnschmelz einlagern. In einigen Fällen hilft leider auch keine professionelle Zahnreinigung.

Vor dem Bleichen
Vor jedem Bleaching stehen der Zahnarztbesuch und eine gründliche Reinigung der Zahnoberflächen (Professionelle Zahnreinigung) an. Zuerst werden Ablagerungen bzw. Verfärbungen entfernt, dies erzielt schon eine leichte Aufhellung ihrer Zähne. Sollten sie dann noch nicht zufrieden mit ihrer Zahnfarbe sein, wird gemeinsam über das weitere Vorgehen entschieden.
Bei sehr dünner Schmelzschicht oder angeborenen Schmelzdefekten ist ein Bleaching nicht empfehlenswert. Unser Team wird Sie dazu individuell beraten.

Die Bleachingmethode
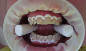
Sollten Sie nach der professionellen Zahnreinigung mit Ihrer Zahnfarbe noch nicht zufrieden sein, erfolgt das Bleaching. Hierbei wird Wasserstoffperoxid in Form eines Gels verwendet. Bevor es zum eigentlichen bleachen der Zähne kommt, wird alles nicht zu bleichendes Weichgewebe (das Zahnfleisch) und die Mundumgebung geschützt.

Dann kann es auch schon mit der Aufhellung der Zähne losgehen.


Ausgangssituation und Kontrolle der Zahnfarbe
Nachdem das Zahnfleisch und die freiliegende Haut isoliert und geschützt worden ist, trägt der Behandler ein hochkonzentriertes Bleachingmittel auf. Dieses Aufhellungsmittel wirkt mit Hilfe einer Wärme- bzw. Lichtquelle. Nach einer Verweildauer von ca. 15 Min. wird das Gel abgespült und dieser Vorgang wiederholt sich einige Mal bis zum gewünschten Aufhellungsgrad.




Wie lange hält das Bleaching
Am Anfang ist meist eine deutliche Zahnaufhellung zu beobachten, je nach Anwendung und weiterer Pflege. Bei einer guten Zahnpflege und regelmäßiger Reinigung, werden ihre Zähne in Zukunft immer etwas heller sein als zuvor. In der Regel sollten sie mindestens ein Jahr Freude an ihren helleren Zähnen haben, danach müsste wieder eine Aufhellung erfolgen. Da durch den normalen Alterungsprozess und durch Genussmittel (wie Tee, Kaffee, Nikotin) die Zähne wieder etwas dunkler werden. Die Aufhellung hält nicht ewig!

Nebenwirkungen
- überempfindliche Zähne und Zahnhälse gegenüber Reize (z.B. Kälte, Wärme, Süßes, Saures)
- Reizungen der Schleimhaut

Darauf verzichten sollten Menschen mit:
- vielen und großen Füllungen
- überempfindliche Zähnen
- Rissen im Zahnschmelz
- Zahnspangenträger
- Schwangere