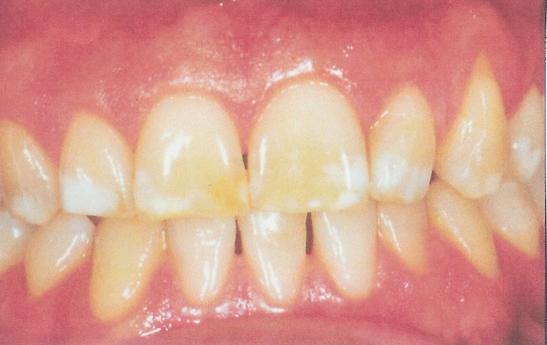
Verbleiben auf den Zähnen durch ungenügende Pflege weiche Beläge, produzieren die in den Belägen enthaltenen Bakterien Säure. Diese ist verantwortlich für die Demineralisation (Erweichung) des Zahnschmelzes und der anderen Zahnhartsubstanzen. Es entsteht ein Loch im Zahn. Das erste Erscheinungsbild ist oft ein kalkig weißer oder ein dunkler Fleck auf der Oberfläche des Zahnes. Mit fortschreitender Entmineralisierung folgt der Übergang von partieller zu totaler Schmelzentkalkung. Sie geht einher mit dem Verlust der Oberflächenstruktur, bakterieller Invasion, Vermehrung der Bakterien, Erreichen der Schmelz-Dentin-Grenze und deren Unterminierung. Bei weiter fortschreitender Invasion werden die tiefen Schichten des Dentins erweicht und die Karies schreitet in Richtung Pulpa (Zahnnerv) vor. Oft hat der Patient ab diesem Stadium Zahnschmerzen, die ihm den Gang zum Zahnarzt notwendig werden lassen. Jeder Defekt des Zahnes erfordert eine Restauration. 




Auf den Vorderflächen der Zähne, welche beim Sprechen und Lachen sichtbar sind, bieten sich zahnfarbene Restaurationen aus Kunststoffen an. Die von den Krankenkassen geforderte, herkömmliche Versorgung im Seitenzahngebiet ist die Restauration mit Amalgam. Defekte im Seitenzahngebiet können bis zu einer bestimmten Größe auch mit zahnfarbenen Kunststoffen restauriert werden. Hierbei ist zu beachten, dass der Patient einen Privatanteil zu bezahlen hat, da diese Versorgung aufwendiger ist und über die von der Krankenkasse geforderte Versorgung mit Amalgam hinaus geht. Ist die Karies sehr tief und schon mit Schmerzen verbunden, wird in der Regel erst eine Einlage mit einem schmerzstillenden Medikament und ein provisorischer Verschluss des Zahnes gemacht. 




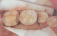
Nach einer empfohlenen Ausheilzeit von ca. 3 Wochen erhält der Zahn seine definitive Versorgung. Ist durch eine tiefe Karies der Zahnnerv abgestorben oder so entzündet, dass der Nerv aus dem Wurzelkanal entfernt werden muss, wird der Kanal durch Spülungen und mehrere Einlagen desinfiziert. In dieser Übergangszeit erhält der Zahn ebenfalls einen provisorischen Verschluss. Nach Ausheilung und Desinfektion wird nun der Wurzelkanal gefüllt und die Zahnkrone ebenfalls wiederhergestellt. Geht durch die Karies zu viel Substanz der Zahnkrone verloren, reicht oft eine Restauration mit Füllmaterialien nicht aus. Hier bietet sich aus Stabilitätsgründen eine im Dentallabor gefertigte Gussfüllung an. Diese kann aus verschiedenen Materialien hergestellt werden: z.B. Silberlegierungen, Goldlegierungen, oder aus zahnfarbener Gusskeramik. Die Gussfüllung wird im Ganzen in den Zahn eingesetzt und entweder zementiert oder mittels spezieller Klebetechnik befestigt. Sie bietet eine hohe Kaustabilität und langfristige Funktionalität. Von der Krankenkasse erhält der Patient hierfür einen Festzuschuss, muss aber einen verbleibenden Eigenanteil aufbringen. Ihr Zahnarzt wird Sie dazu dementsprechend beraten.